Open Bites
Open Bite Solutions: Achieve a Healthy, Happy Smile!
A healthy bite is crucial for proper chewing, speech, and overall oral health, and at Anchored Family Dental in Davidson, NC, we're here to help you understand and address any bite concerns.
Open bites, a type of malocclusion, occur when the upper and lower teeth don't meet, leaving a gap. We'll explore the different types of open bites, including skeletal and dental, and discuss the various treatment approaches available.
Our goal is to provide you with clear and comprehensive information, empowering you to make informed decisions about your dental care.
From initial consultation to post-treatment care, we're dedicated to ensuring your experience is comfortable and your results are exceptional.
What Is An Open Bite?
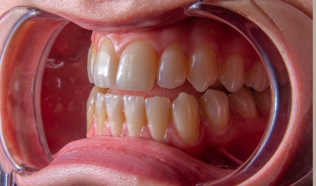
An open bite is when your top and bottom teeth don’t touch when you close your mouth. This can happen with front teeth, which is called an anterior open bite. If it happens with the back teeth, it’s called a posterior open bite.
There are a few reasons why open bites happen, like thumb sucking, tongue thrusting, or even genetics if someone in your family had the same problem.
How Can You Tell If You Have an Open Bite?
Here are some signs to look for:
- Is it hard to bite into foods like apples?
- Do you have trouble speaking clearly?
- Do you breathe through your mouth sometimes? Is your smile a bit unaligned?
If you notice these things, you might have an open bite.
Why Is It Important to Treat an Open Bite?
An open bite can make chewing food difficult or even affect your speech. Fixing an open bite can help avoid other dental problems in the future and boost your confidence with a beautiful smile. When your teeth meet the way they should, it can make eating easier, talking clearer, and your smile brighter.
How Can Anchored Family Dental Help
At Anchored Family Dental, we have several ways to help fix open bites. One of the common treatments is orthodontic clear aligners, which work like braces but are less noticeable, which is great if you want a discreet option.
Habit appliances are another solution. These are special devices that help stop habits like thumb sucking, which can cause open bites. They’re especially useful for children to avoid long-term dental issues.
In some cases, surgery might be needed for severe open bites. Don’t worry; we will guide you through every step if surgery is necessary.
Why Choose Anchored Family Dental?
Our friendly and expert team loves working with families. We offer affordable solutions and work to make sure treatment fits your budget. Plus, we use advanced technology to give you the best results. When you pick us, you’re getting a team that cares about each smile in your family.
If you want to prevent open bites, you can take some steps. Encourage kids to stop thumb-sucking early. Teach them proper swallowing techniques. And make sure to have regular dental check-ups with us to catch any issues early before they turn into bigger problems.
Frequently Asked Questions
To help answer some of your questions, here are a few FAQs about open bites:
Can an Open Bite Fix Itself?
Sometimes, especially with kids, an open bite can fix itself if they stop certain habits. However, treatment is often needed to make sure it doesn’t cause problems later on.
How Long Does Open Bite Treatment Take?
The length of treatment can vary from person to person but can take several months to a few years depending on the severity.
Is Open Bite Treatment Painful?
Treatments like aligners may cause some discomfort, but we work to make the process as easy and comfortable as possible for you and your family.
Beautiful Smiles Start Here: Your Open Bite Solution!
At Anchored Family Dental, we believe in caring for your whole family. Understanding open bites is the first step to getting the beautiful smile you deserve.
Let us help you and your family achieve happy, healthy smiles! Our office in Davidson, NC, is dedicated to providing compassionate and effective dental care. We look forward to welcoming you to our dental family.
Ready to start your journey to a healthier smile? Contact us today to schedule an appointment! We’re excited to help your family smile brighter.